Lar
Produtos
Micro Aplicador
Micro pincel dental
Dicas de seringa de água aérea
Aplicadores de ponta adesiva
Mixagem dicas
Taxa de mistura de 1: 1
Taxa de mistura de 1:10
Dica do transportador dental
Brush da Profy
Pincel de canal de raiz
Pincel do tipo trava
Faça um pincel
Copa da Profy
Copo do tipo de trava
Parafuso no tipo copo
Profy Head Cup
Copo Profy do tipo HP
Prato dental dappen
Mandrels dentários
Acessórios de hardware dental
Bur Dental
Aço de Tungstênio
Zircônia
Procurando por produtos
Entre no centro de produtos >
Contate-nos
info@skymen.cc
Recursos
Técnico
Soluções personalizadas
Serviço único
Garantia de qualidade
Procurando por produtos
Entre no centro de produtos >
Contate-nos
info@skymen.cc
Empresa
Sobre Ouwen
Equipe de P&D
Nossa honra
Procurando por produtos
Entre no centro de produtos >
Contate-nos
info@skymen.cc
Download E Perguntas Frequentes
Notícias
Contate-Nos
Solicitar cotação
Pesquisa de produtos
Palavras-chave quentes:
Product Category
Product Category
Product Category
Procurando por produtos
Entre no centro de produtos >
Contate-nos
info@skymen.cc
Português
Linguagem
Türk dili
Deutsch
Español
Pусский
Français
العربية
English
Procurando por produtos
Entre no centro de produtos >
Contate-nos
info@skymen.cc
Lar
/
Notícias
/
Notícias da indústria
/
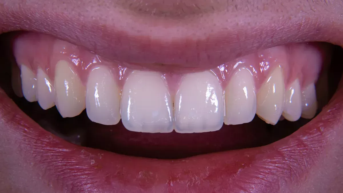
Polir os dentes é o mesmo que clarear os dentes?
Polir os dentes é o mesmo que clarear os dentes?
Número Browse:
0
Autor:editor do site Publicar Time: 2025-10-16 Origem:
alimentado
Inquérito
polimento de dentes
Branqueamento dentário
Bem -vindo ao enviar consultas a uma empresa com uma forte formação em design, desenvolvimento de produtos e produção de produtos.
CATEGORIA DE PRODUTO
Micro Aplicador
Escova dental descartável
Dicas de mistura dental
Dica descartável da seringa de água aérea
Brush da Profy
LINKS RÁPIDOS
Lar
Produtos
Recursos
Empresa
Download e Perguntas frequentes
Notícias
Contate-nos
CONTATE-NOS
No. 8 Gongling Second Road, Shuxin Village, Changing Town, Dongguan City, Província de Guangdong, China
+86-13929448890 / +86-13713374574
+86-13929448890 / +86-13713374574
+86-769-81099096
+86-769-81099586
anna@chinaouwen.com
+86-13929448890
+86-769-81099096
anna@chinaouwen.com
+86-13929448890
Copyright
2025
Dongguan Ouwen Medical Device Technology Co.,Ltd
.
|
Sitemap
|
Política de privacidade